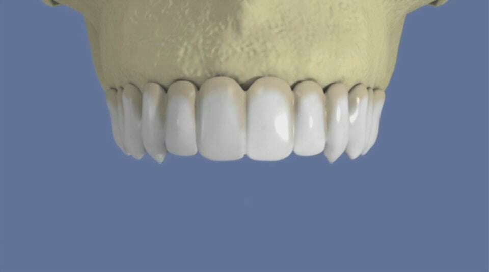
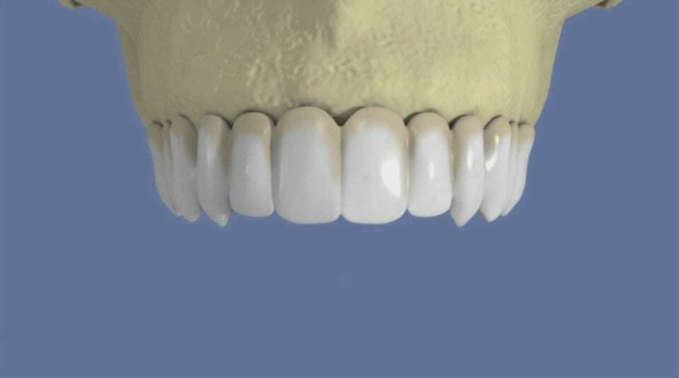
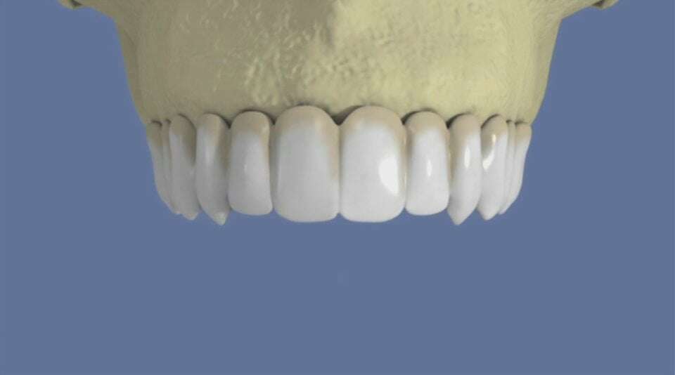
Maxillaire : bridge complet scellé sans fausse gencive
Articles similaires
Le comblement de sinus par abord crestal
Vidéos 3D
Facettes
Vidéos 3D
Traitement d'une carie par inlay/onlay
Vidéos 3D
3 rue du Général Galliéni
94350
VILLIERS-SUR-MARNE
| Lundi | 9h - 12h15, 14h - 18h |
| Mardi | 9h - 12h15, 14h - 18h |
| Mercredi | 10h30 - 12h30, 14h - 18h |
| Jeudi | 9h - 12h15, 14h - 18h |
| Vendredi | 9h - 12h15, 14h - 18h |
| Samedi | Fermé |
| Dimanche | Fermé |
Vidéo en cours de lecture